インプラント治療
インプラント治療とは
インプラント治療では、歯を失ってしまった部分に、人工歯根(インプラント)を埋め込み、その上に人工の歯を被せて、見た目と噛む機能を回復させることができます。
インプラント治療によってお口の中に入る人工の歯は、顎の骨の中に埋め込む歯根部(フィクスチャー)、歯に相当する上部構造(クラウンやブリッジ)、その両者を連結する支台部(アバットメント)の3つの部分から構成されます。

当医院での治療
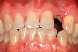
Before

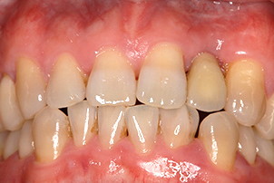
After

インプラント治療のメリット
- まるで自分の歯のように何でも噛める。
- 見た目が自然で美しい。
- ブリッジ治療のため両側の健康な歯を削らない。
- 残っている歯や顎の骨を守ることにつながる。(インプラントは、健康な歯を削る必要がなく、機能圧が加わることで、骨の吸収・退縮を抑えることができます。)
当院のインプラント治療が
選ばれる理由
日本口腔インプラント学会が認定するインプラント専門医が担当
当院の院長は、日本口腔インプラント学会が認定するインプラント専門医です。
10万人を超える歯科医師の中で、このインプラント専門医と認定されている歯科医師はわずか2%程度です。
当院で行うインプラント治療では、日本口腔インプラント学会が定める審査基準をクリアし、インプラント専門医として認定資格を持つ院長が執刀します。

CT(Computed Tomography)を完備
CT(Computed Tomography)とは、コンピューター断層撮影を意味します。
CTは、X線とコンピューターによって、歯や骨の位置や形態などを立体的(3D)に視覚化します。血管や神経の位置を立体的に把握し、骨量、骨密度を正確に確認できるため、インプラント手術を行うときには、CTによる診査・診断が必須です。

オペを動画情報として保存
当院では、手術記録を残すためにライブカメラで手術の様子を撮影しています。これは、術者の頭にカメラを装着し、口腔内のオペ状況を撮影するものです。当院では、インプラントオペに自信があるからこそ、オペの記録を保存しています。
インプラント手術のときには医院を貸し切りに
当院では、インプラント手術を行うときには、他の患者様のアポイントは入れずに、医院を貸し切り状態にして、スタッフ全員が一丸となってインプラント手術に取り組みます。
医院を貸し切りにすることは、経営上のデメリットがありますが、衛生管理を徹底し、患者様が落ち着いて手術を受けていただくために必要なことだと考えています。
信頼できるインプラントメーカーを採用
歯科用インプラントは、世界的に200以上の企業で生産されており、価格や品質もさまざまです。当院では、これらのインプラントの中から、ストローマンとカルシテックインプラントを採用しています。これらは、世界の大学、及び研究機関で研究が行われると同時に、数多くの症例報告や論文も発表されています。
患者様の骨に直接埋め込むパーツのため、当院では、根拠に基づき、安全性・信頼性が高いインプラントを使用しています。
どうしても骨の量や長さが取れない場合には、バイコンのショートインプラントを使用します。

↓↓インプラント治療解説動画↓↓
造骨手術にも対応可能
歯科医師によっては、「顎の骨が薄くなってしまっていて、インプラントが打てない」と、インプラント治療を断ることがあります。このようなケースの場合には、顎の骨を造成することによって、インプラント治療が可能となるケースがあります。
当院では、このような造骨が必要なケースでも対応することができます。
骨量、骨幅がどうしても得られないケースは、私の最も信頼できる外科専門医と連携し骨を作る手術を行います。

GBR法
骨が不足している箇所を生体材料でできた専用の膜で覆い、自家骨や骨補填剤を詰め、骨の再生を促します。
リッジエキスパンジョン(骨拡大法)
骨幅が狭い場合に、専用器具で骨の幅を広げてインプラントを埋入する方法です。
顎の骨をバーで切開し、専用器具を挿入して徐々に拡げていきます。
ソケットリフト
上顎の骨が不足している場合に、骨補填材を注入した後に、骨を持ち上げて骨幅を厚くする手法です。
インプラントを埋入する部分へ骨補填材を入れ、専用器具を用いて少しずつ上顎洞底部を押し上げていきます。
サイナスリフト
上顎の骨が少ないケースで行う術式です。上顎の奥歯の上には空洞(上顎洞)があります。この上顎洞に自家骨や骨補填材を入れ、骨をつくります。
当院でのインプラント治療の
位置付け

インプラント治療は、歯を失ってしまったときの選択肢の1つです。
当院では、天然歯をできる限り削ったり、抜いたりせず、いかに歯を残すことができるかを最優先に考えています。インプラントは、残った歯や骨を維持することができます。また、見た目も自然にキレイで、ご自分の歯と同じように何でも噛めるため、第1の選択肢になることが多くなってきます。ただ、歯を失ってしまったときには、インプラント治療以外にも、入れ歯やブリッジという選択肢があります。
患者様の症状やご要望によって最善の選択肢は変わります。患者様によっては、症状や全身疾患、費用の関係で、インプラントが第1の選択肢とはならないこともあります。
当院では、患者様が治療内容のメリット・デメリットを十分に理解し、ご自身にとって最善の選択を行える環境をつくることが大切だと考えています。
また、当院ではインプラント治療を行った患者様には、3ヶ月ごとの専門的ケアを行い、長きに渡り適正なコンディションで維持できる努力をしております。