矯正歯科
矯正歯科とは
矯正治療(歯列矯正)とは、矯正装置を用いて、歯を移動させ、出っ歯、八重歯、隙っ歯、受け口などの歯並び(不正咬合)を改善する治療法です。
矯正治療を行うことで、歯並びはキレイになります。
また、矯正治療は、見た目を改善するだけでなく、咬み合わせや衛生管理上の問題も改善することができます。
不正咬合は歯磨きがしにくく、唾液の流れも良くないため、細菌が繁殖しやすく、虫歯や歯周病になりやすくなります。また、特定の箇所に噛む力が集中し、歯に小さなヒビが入ったり、歯が割れてしまうこともあります。これらは歯の寿命を縮める原因となります。
しかし、矯正治療を行うことで、これらのリスクを軽減し、長期的に歯を守ることができます。
矯正治療は第1〜第4火曜日の15:30〜19:00で行なっております。

健康な歯をできるだけ抜かない
口腔外科、一般歯科から矯正歯科へと臨床経験を積んできた結果として、健康な歯は何事にも代え難い、大切なものと考えています。
健康な歯を抜いてしまう矯正治療には、いくつかのデメリットが存在します。そのため、当院では可能な限り抜かずに治療を行っています。
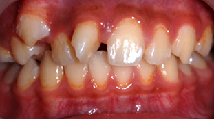
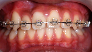
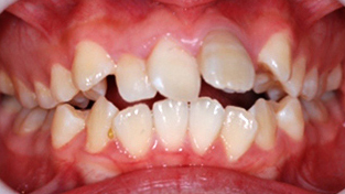
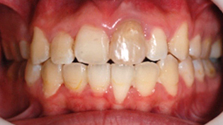
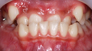
過剰歯があった歯並び
真ん中に普通より1本多く歯があり審美的にも問題があったため、過剰歯を抜歯しました。
治療を開始し、18ヶ月です。
上顎のみの最小限の治療で歯並びが改善しました。
Before

After

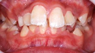
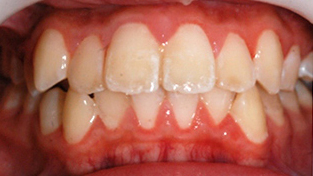
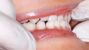
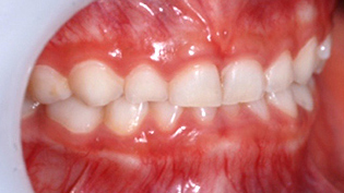
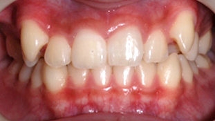
生え替わり中のでこぼこ
永久歯が生えてきましたが、歯並びがでこぼこです。
治療を開始し、30ヶ月後です。
部分的なワイヤー矯正のみ、最小限の治療で歯並びが改善しました。
Before

After

出っ歯とでこぼこ
出っ歯とでこぼこのため、前歯をぶつけて歯の色が変わっていました。
本人のご希望により上の小臼歯2本を抜歯しました。
治療を開始し、24ヶ月後です。
健康な歯を犠牲にしましたが、歯並びは改善しました。
Before

After

こどもの矯正治療
こどもの歯は未熟で成長段階にあるため、その成長を手助けすることで、比較的単純な装置で矯正治療を行うことができます。悪くなってから治療するよりも悪くなる前に治療する、こどもの矯正治療には多くのメリットがあります。
こどもの矯正治療の特徴
- 顎の健全な成長・発育を誘導することができる。
- 抜歯をせずに治療できる可能性が高まる。
- ワイヤーを使わずに治療が終わる可能性がある。
3歳児の反対咬合治療
反対咬合により、顎の成長、発音、食事の仕方に影響が出ていました。
早期に治療を開始し、15ヶ月後です。
Before

After

4年生の反対咬合治療
反対咬合により、顎の成長、発音、食事の仕方に影響が出ていました。
治療を開始し、24ヶ月後です。
第1段階終了ですが、ご希望により第2段階に進みます。
Before

After
