入れ歯治療
入れ歯治療とは
「入れ歯が痛くて、食べたい物が食べられない」
「入れ歯の裏側に食べ物が入る」
「うまく発音できず、人と話すのが疲れる」など・・・
入れ歯に関するお悩みの声をよく伺います。
入れ歯が合わないことが、心身に多大な負担とストレスになっていませんか?
当院では、患者様に快適な生活を送っていただけるよう、さまざまな種類の入れ歯をご用意し、お口の状態に合わせてご提案しています。

入れ歯の種類
レジン(アクリル樹脂)床義歯:健康保険適用の入れ歯
保険適用で製作できる入れ歯です。費用負担が抑えられますが、使用できる素材が決まっています。素材はプラスチックのため、製作するうえで一定の厚みが必要です。
部分入れ歯の場合には、入れ歯を歯に固定するため、金属のバネ(クラスプ)が必要で、外見上、入れ歯だとわかってしまいます。

レジン(プラスチック)床義歯の特徴
違和感 | 噛み心地 | 熱伝導 | 見た目 | 治療費 |
---|---|---|---|---|
× | × | × | × | ◎ |
ノンクラスプデンチャー:金属のバネがない入れ歯
歯に固定するための金属のバネを必要としない入れ歯です。
歯肉の色に近い樹脂でできているため、審美性が高く、部分入れ歯を装着していることをほとんど気付かれることなく使用できます。
また、入れ歯を支える歯に過度な負担がかかることがありません。

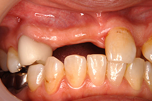
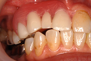
症例
Before

After

ノンクラスプ義歯の特徴
違和感 | 噛み心地 | 熱伝導 | 見た目 | 治療費 |
---|---|---|---|---|
〇 | △ | × | ◎ | 〇 |
金属床義歯
歯ぐきに接する部分(床)を金属で製作する入れ歯です。
床を金属にすることで、入れ歯を薄くすることができ、違和感が少なくなります。また、金属は熱伝導性が高いため、食べ物の温度を感じやすくなります。
金属床義歯は、使用する金属の種類に、コバルトクロム、チタン、白金加金などがあります。

金属床義歯の特徴
違和感 | 噛み心地 | 熱伝導 | 見た目 | 治療費 |
---|---|---|---|---|
◎ | 〇 | ◎ | 〇 | △ |
各種アタッチメント義歯
アタッチメント義歯とは、入れ歯を固定する金属のバネ(クラスプ)の代わりに、さまざまな固定装置(アタッチメント)を利用する入れ歯です。金属のバネによる一般的な入れ歯よりも、見た目が自然で、入れ歯を強く固定することができます。

マグネットアタッチメント
根っこだけになってしまった歯に、支えとなる金属(磁性金属)を入れ、義歯側に小さい磁石をセットした入れ歯です。磁力でくっつくため、強く噛むことができます。また、取り付け、取り外しも簡単、お手入れもしやすくなっています。
0(オー)リングアタッチメント
O(オー)リングとは、残った歯の根に突起を付け、入れ歯の裏側にゴムリングをセットします。突起とゴムリングをホックで留めるようにして、入れ歯を固定します。入れ歯が強固に固定でき、格段に快適に噛めるようになります。
インプラントオーバーデンチャー
顎の骨にインプラントを数本埋め込み、取り外し式の入れ歯を装着する治療法です。
入れ歯がインプラントに固定されるため、ズレたり、外れたりすることなく、しっかりと強く噛むことができます。また、ご自身で入れ歯を取り外すこともできます。
アタッチメント義歯の特徴
- ご自分の歯のように何でも強く噛める。
- 見た目が美しく、入れ歯だと気付かれにくい。
- 入れ歯の歯肉に接する部分(床)を小さくすることができ、違和感・異物感が少ない。
違和感 | 噛み心地 | 熱伝導 | 見た目 | 治療費 |
---|---|---|---|---|
◎ | ◎ | ◎ | ◎ | △ |